هالوکس والگوس یا انحراف شست پا یکی از شایعترین مشکلات ارتوپدی است که اغلب با درد، التهاب و محدودیت حرکتی همراه است. تشخیص به موقع این عارضه میتواند از پیشرفت آن جلوگیری کند و با روشهای غیرجراحی، کیفیت زندگی بیماران را بهطور قابل توجهی بهبود بخشد. عوامل ژنتیکی، سبک زندگی و انتخاب نامناسب کفشها در بروز این مشکل نقش دارند و توجه به آنها برای پیشگیری و درمان ضروری است.
عوامل مؤثر در بروز هالوکس والگوس
انحراف شست پا معمولاً نتیجه ترکیبی از عوامل ژنتیکی و محیطی است. تحقیقات نشان میدهند که سابقه خانوادگی نقش تعیینکنندهای در احتمال ابتلا به این عارضه دارد و افرادی که والدین یا بستگان نزدیک آنها دچار هالوکس والگوس هستند، ریسک بالاتری برای ابتلا دارند.
- ژنتیک و وراثت: عوامل ژنتیکی ساختار استخوانها و مفاصل پا را تحت تأثیر قرار میدهند.
- سبک زندگی: فعالیتهای بدنی سنگین یا ورزشهای شدید میتواند فشار اضافی بر شست پا وارد کند.
- کفش نامناسب: استفاده مداوم از کفشهای پاشنهبلند یا نوکباریک باعث افزایش فشار روی مفصل شست و تشدید انحراف میشود.
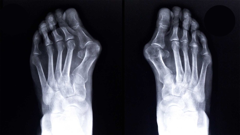
نشانه ها و تشخیص اولیه
تشخیص زودهنگام هالوکس والگوس نقش مهمی در جلوگیری از پیشرفت آن دارد. تغییر شکل ظاهری انگشت شست، درد در مفصل و التهاب در ناحیه کناری پا از نشانههای بارز این بیماری هستند.
- معاینه بالینی: بررسی شکل و زاویه شست و مشاهده تورم یا التهاب.
- تصویربرداری: اشعه ایکس برای تعیین شدت انحراف و درجهبندی آن.
- ارزیابی عملکردی: بررسی محدودیت حرکت و تأثیر بر راه رفتن.
تشخیص دقیق، امکان انتخاب روش درمانی مناسب و مؤثر را فراهم میکند و از جراحی غیرضروری جلوگیری میکند.
روش های غیر جراحی درمان هالوکس والگوس
در مراحل اولیه، هالوکس والگوس با استفاده از روشهای غیرجراحی قابل کنترل است. این رویکردها میتوانند درد را کاهش دهند، عملکرد پا را بهبود بخشند و از پیشرفت انحراف جلوگیری کنند.
- فیزیوتراپی: تمرینات کششی و تقویتی برای افزایش انعطافپذیری عضلات و کاهش فشار روی شست.
- ماساژ درمانی: بهبود جریان خون و کاهش التهاب در ناحیه آسیبدیده.
- کفیها و پدهای طبی: حمایت از قوس پا و کاهش فشار روی انگشت شست.
- اسپلینتهای شبانه: حفظ زاویه صحیح شست در هنگام خواب و جلوگیری از تشدید انحراف.
نقش تمرینات و اصلاح سبک زندگی
تمرینات منظم میتوانند به کاهش علائم و بهبود عملکرد پا کمک کنند. تمرینات کششی باعث افزایش انعطاف مفصل و عضلات اطراف شست میشود، در حالی که تقویت عضلات پا به حفظ ساختار طبیعی مفصل کمک میکند.
- تمرینات کششی روزانه: برای شست و قوس پا.
- ورزشهای سبک: مانند شنا یا پیادهروی که فشار کمتری به مفصل وارد میکنند.
- انتخاب کفش مناسب: کفش با پنجه پهن و پاشنه کوتاه برای کاهش فشار روی شست.
- استراحت و تغییر وضعیت: جلوگیری از ایستادن طولانی و فشار مداوم روی پاها.
اصلاح سبک زندگی همراه با فیزیوتراپی، اثرات درمانی روشهای غیرجراحی را افزایش میدهد و از نیاز به جراحی در آینده جلوگیری میکند.
جراحی در موارد پیشرفته
در صورتی که انحراف شست پا شدید باشد و روشهای غیرجراحی مؤثر واقع نشوند، جراحی میتواند ساختار پا را اصلاح کرده و درد و محدودیت حرکت را کاهش دهد. انواع جراحی شامل اصلاح استخوان، بازسازی رباطها و تنظیم تاندونها است.
- انتخاب روش مناسب: بر اساس درجه انحراف و نیازهای بیمار.
- ترکیب با فیزیوتراپی: پس از جراحی برای بازیابی عملکرد و جلوگیری از بازگشت مشکل.
- بهبود کیفیت زندگی: کاهش درد و توانایی انجام فعالیتهای روزانه بدون محدودیت.
نتیجه گیری
تشخیص زودهنگام و درمان به موقع هالوکس والگوس، کلید کنترل مؤثر این ناهنجاری است. استفاده از روشهای غیرجراحی مانند فیزیوتراپی، تمرینات کششی، ماساژ درمانی و کفیهای طبی میتواند در مراحل اولیه، علائم را کاهش داده و از پیشرفت بیماری جلوگیری کند. در موارد پیشرفته، جراحی به همراه اصلاح سبک زندگی، بهترین نتیجه را به همراه دارد. آگاهی از عوامل ژنتیکی، محیطی و انتخاب کفش مناسب، نقش مهمی در پیشگیری و کنترل این بیماری دارد و میتواند کیفیت زندگی بیماران را به طور قابل توجهی ارتقا دهد.
بدون نظر! اولین نفر باشید